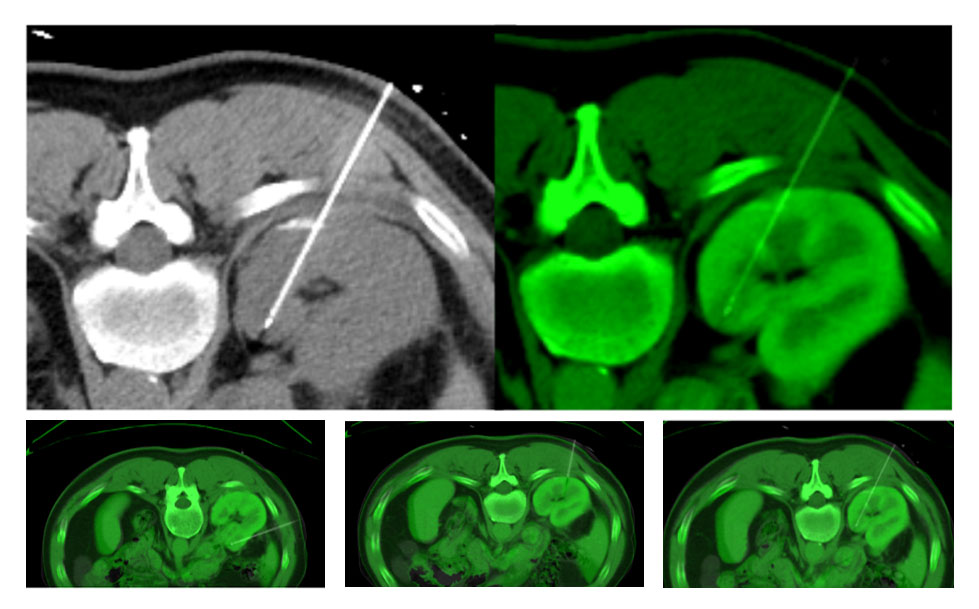
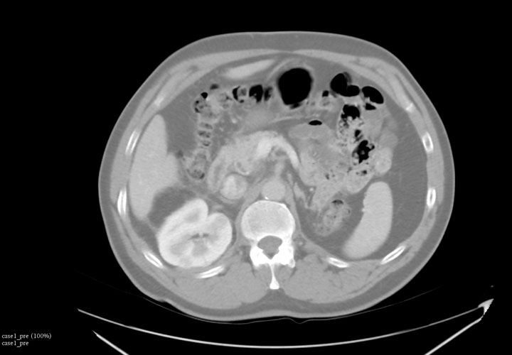
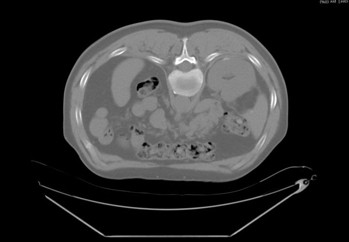
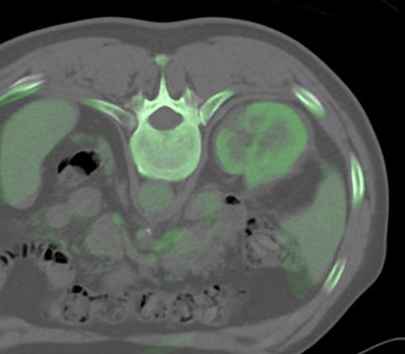
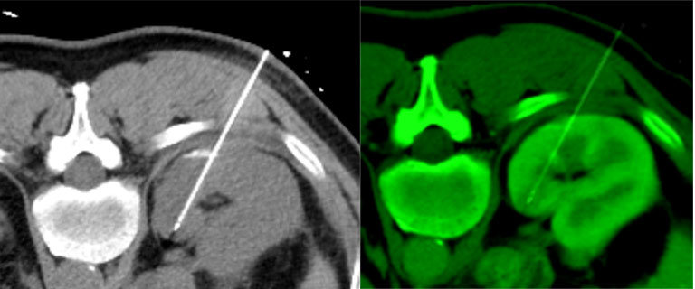
IGTFusion used to guide and confirm accurate needle placement in 3 renal lesions that were not visible on CT during the procedure.
- Registered a supine pre-procedural image to a prone procedural image
- Saved procedure time by eliminating the need to constantly refer back to the pre-procedural image
- Reduced the clinician tedium of estimating the accuracy of needle placement








